腸管生体模倣システムを用いてエンテロウイルスA71の感染病態を再現

2026年4月23日 公開

ヒト腸管における感染機構の解明と創薬研究への応用に期待

ポイント

  • ヒト腸管を再現した生体模倣システム(腸管MPS)により、EV-A71の2週間にわたる長期間感染を再現することに成功した。
  • EV-A71は腸管MPSに長期感染しても、抗ウイルス応答や組織障害をほとんど引き起こさないことを明らかにした。
  • 本モデルにより、ヒト腸管におけるEV-A71の感染機構の解明や、重症化を防ぐ治療戦略の開発につながる基盤が示された。

概要

東京科学大学(Science Tokyo) 総合研究院 難治疾患研究所 人体模倣システム学分野の二ツ迫拓樹特別研究学生、出口清香講師、高山和雄教授らの研究グループは、ヒトES細胞[用語1]マイクロ流体デバイス[用語2]を用いて作製した腸管の生体模倣システム(腸管MPS)を用い、エンテロウイルスA71(EV-A71)感染症の再現に成功しました。

EV-A71は主に乳幼児に感染し、手足口病などを引き起こすウイルスです。糞口経路で体内に侵入したウイルスは、まず腸管に感染して増殖した後、他の臓器へと感染拡大します。したがって、EV-A71の初期感染臓器である腸管におけるウイルス増殖を再現し、その機構を解明することが重要です。

そこで研究グループは、マイクロ流体デバイス上でヒトES細胞を分化誘導して作製した腸管MPSにEV-A71を感染させ、宿主応答およびウイルス増殖機構を解析しました。その結果、2週間にわたる長期間、EV-A71は腸管MPSに感染したにもかかわらず、インターフェロン(IFN)シグナル[用語3]の活性化などの抗ウイルス応答や腸管障害を引き起こしませんでした。また、この感染は組換えIFNタンパク質の作用により阻害されたことから、EV-A71の長期感染にはIFNシグナルの制御が関与することが示唆されました。

本研究成果は、腸管におけるEV-A71感染症のさらなる理解や、新たな治療薬の創出に貢献することが期待されます。

本成果は、国際科学誌「Journal of Virology」オンライン版において、2026年4月21日(現地時間)に発表されました。

背景

エンテロウイルスA71(EV-A71)は手足口病の原因ウイルスの1つであり、多くの場合、手足や口における発疹や発熱などの軽度な症状を引き起こしますが、まれに中枢神経症状などの重症化を来します。EV-A71は糞口経路で体内に侵入し、腸管に感染して増殖した後、中枢神経系などの他の臓器へ感染を拡大します。したがって、初期感染臓器である腸管におけるEV-A71の感染病態および増殖機構を解明することが重要です。しかし、腸管におけるEV-A71感染症の病態は十分に明らかになっておらず、EV-A71感染症に対する承認薬も存在していません。

EV-A71の研究には、ヒト横紋筋肉腫由来細胞株であるRD細胞などが用いられてきました。しかし、これらの細胞株はヒトの正常細胞とは異なるため、EV-A71感染に対するヒト組織の応答を正確に再現することはできません。腸管におけるEV-A71感染の影響を調べるために、腸管オルガノイド[用語4]もこれまでに用いられてきました。腸管オルガノイドは機能的な腸管上皮細胞から構成されるため、ヒト腸管における上皮細胞の応答を評価することができますが、線維芽細胞などの非上皮細胞を含まないため、EV-A71感染に対する腸管の複雑な応答を詳細に解析することは困難です。したがって、EV-A71感染に対する腸管の応答をより正確に再現できるヒト腸管モデルが必要と考えられます。

生体模倣システム(MPS)は、マイクロ流体デバイス上で細胞を培養したin vitro モデルです。これまでに本研究チームは、マイクロ流体デバイス上でヒトES細胞を分化誘導し、腸管上皮細胞や線維芽細胞などの多様な腸管構成細胞を有する腸管MPSを開発しました[参考文献1]。この腸管MPSでは、マイクロ流体デバイス内で生理的な力学刺激を付与することで、腸管構成細胞の成熟化が促進され、腸管粘膜の多層構造が再現されています。そこで本研究では、腸管MPSを用いてEV-A71感染症を再現し、宿主応答の解析を試みました。

研究成果

腸管MPSにEV-A71を感染させ、培養上清中のウイルス力価を測定したところ、感染後14日目においても高値が維持されていました(図1A)。また、感染後14日目の腸管MPSにおいても、形態学的な変化は確認されませんでした(図1B)。一方、EV-A71研究に頻用されるRD細胞にEV-A71を感染させると、上清中のウイルス力価は一過的に増加したものの、感染後4日目までに細胞変性効果によって細胞が排除され、ウイルス力価は急激に減少しました(図1C、D)。EV-A71感染患者の約95%では、発症から2週間後においても糞便中からウイルスRNAが検出されることが報告されています。以上より、腸管MPSは、EV-A71感染患者で見られるようなウイルスの長期感染を再現できることが示唆されました。

図1. A-B: 腸管MPSを用いたEV-A71感染実験。
A: 腸管MPSにEV-A71を感染させ、培養上清中のウイルス力価を測定した。
B: EV-A71感染後14日目における腸管MPSの位相差画像を示す。スケールバーは200 μm。
C-D: RD細胞を用いたEV-A71感染実験。
C: RD細胞にEV-A71を感染させ、培養上清中のウイルス力価を測定した。
D: EV-A71感染後4日目におけるRD細胞の位相差画像を示す。スケールバーは100 μm。

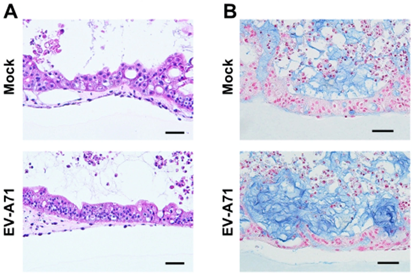
次に、EV-A71感染が腸管MPSに与える影響を評価するため、組織学的解析を実施しました。H&E染色の結果から、腸管MPSの上皮層および間質層に形態学的変化は生じていないことが確認されました(図2A)。また、アルシアンブルー染色の結果から、EV-A71感染後も腸管MPSの粘液産生能が維持されていることが示唆されました(図2B)。EV-A71に感染した患者では腸管障害がほとんど報告されていないことから、腸管MPSで得られたこれらの結果は妥当であると考えられます。

図2.EV-A71感染後4日目における腸管MPSのH&E染色像(A)およびアルシアンブルー染色像(B)を示す。スケールバーは50 μm。

EV-A71のタンパク質は、宿主のIFNシグナルを阻害し、抗ウイルス応答を抑制することが報告されています。EV-A71に感染した腸管MPSの培養上清中のサイトカイン分泌量を測定したところ、IFNを含むサイトカインの分泌量は感染後も増加しませんでした(図3A)。一方、組換えIFNタンパク質をウイルス感染と同時に作用させたところ、IFN作用群において、自然免疫関連遺伝子であるIFN-stimulated gene 15(ISG15)の遺伝子発現量が有意に増加し、ウイルスmRNA発現量が有意に減少しました(図3B、C)。以上により、EV-A71は抗ウイルス応答を抑制しながら、腸管MPSに長期間感染していることが示唆されました。

図3.A: EV-A71感染後7日目における腸管MPSの培養上清中のサイトカイン分泌量を測定した。
B-C: EV-A71感染と同時に組換えIFN-βタンパク質を作用させ、7日後にEV-A71 VP1(B)およびISG15(C)の遺伝子発現量を解析した。*p<0.05、**p<0.01。

社会的インパクト

本研究では、ヒトES細胞およびマイクロ流体デバイスを用いて構築した腸管MPSをEV-A71感染症研究に活用し、既存の感染モデルでは再現が困難であったヒト腸管におけるEV-A71の長期感染の再現に成功しました。本感染モデルを用いることで、腸管におけるEV-A71の増殖機構の解明が進み、他の臓器への感染拡大や重症化を回避するための新規治療戦略の開発に寄与することが期待されます。

今後の展開

今後は、腸管MPSによるEV-A71感染症モデルを用いて、EV-A71の複製阻害効果を示す化合物の探索を進める予定です。さらに、腸管内で増殖したEV-A71が他臓器へ感染を拡大し、重症化に至る機序の解明も目指します。

付記

本研究は以下の支援を受けて実施されました。

  • 日本医療研究開発機構(AMED)(JP21gm1610005、JP23bm1323001、JP25bm1123079、JP25fk0108716、JP25wm0225056)
  • 日本学術振興会(JSPS)研究拠点形成事業(A.先端拠点形成型)(JPJSCCA20240006)
  • 日本学術振興会(JSPS)科研費研究助成事業(24K23052、25K22624)
  • 持田記念医学薬学振興財団

参考文献

[参考文献1]
Deguchi S, Kosugi K, Takeishi N, Watanabe Y, Morimoto S, Negoro R, Yokoi F, Futatsusako H, Nakajima-Koyama M, Iwasaki M. 2024. Construction of multilayered small intestine-like tissue by reproducing interstitial flow. Cell stem cell 31:1315-1326. e8. DOI:10.1016/j.stem.2024.06.012

用語説明

[用語1]
ヒトES細胞:ほぼ無限に増殖可能な自己複製能と、さまざまな体細胞に分化できる多分化能を有する多能性幹細胞。
[用語2]
マイクロ流体デバイス:樹脂などでできた基盤に微小な流路を形成した装置。流路内部の液体や気体をマイクロスケールで制御できることから、ライフサイエンスや化学、食品などのさまざまな分野で利用されている。本研究では、生理的な力学刺激を付与するための細胞培養機材として使用した。
[用語3]
IFNシグナル:サイトカインファミリーの一種であるIFNが受容体に結合することで活性化されるシグナル伝達経路。抗ウイルス応答や抗腫瘍作用など、さまざまな生体防御機能を担う。
[用語4]
オルガノイド:幹細胞を三次元培養することで得られる多細胞集合体。

論文情報

掲載誌:
Journal of Virology
タイトル:
Modeling human enterovirus A71 infection using an intestinal microphysiological system
著者:
Hiroki Futatsusako, Sayaka Deguchi, Kaori Kosugi, Rina Hashimoto, Noriyo Nagata, Tadaki Suzuki, Takuya Yamamoto, Kazuo Takayama

研究者プロフィール

二ツ迫 拓樹 Hiroki Futatsusako

東京科学大学 総合研究院 難治疾患研究所 人体模倣システム学分野 特別研究学生
研究分野:生体医工学、感染症創薬

出口 清香 Sayaka Deguchi

東京科学大学 総合研究院 難治疾患研究所 人体模倣システム学分野 講師
研究分野:生体医工学、感染症創薬

高山 和雄 Kazuo Takayama

東京科学大学 総合研究院 難治疾患研究所 人体模倣システム学分野 教授
研究分野:生体医工学、感染症創薬

関連リンク

お問い合わせ

東京科学大学 総合研究院 難治疾患研究所 人体模倣システム学分野
教授 高山 和雄

取材申し込み

東京科学大学 総務企画部 広報課